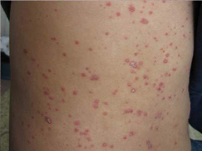
牛皮癣患者不能胡乱忌口
来源:郑州市银屑病研究所 发布日期:2015-12-18

在临床的追踪调查中,发现很多牛皮癣患者特别注意忌口,当然对于自己过敏的食物,忌口是必须的,但是若是不过敏的食物也忌口,那就很可能引起营养失衡的。
牛皮癣调养上必须注意饮食的调养,牛皮癣患者本身的体质是比较虚弱的,必须注意好好调理,不能胡乱忌口。
牛皮癣的日常调养必须注意合理饮食,不能过分忌口,其原则是,不过敏的都可以适当的吃点的。
牛皮癣的日常调养,增强免疫力的话,必须加强训练,牛皮癣患者每天早晨可以适当的跑跑步,出出汗是比较好的,这样可以保持毛孔的正常排汗功能。










患者诊后就医分享
9.7分
9.8分
9.8分
9.7分